اخبار البلد-
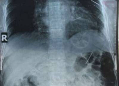
ذكرت صحيفة «ديلي ميل» البريطانية، أن امرأة صينية عانت من آلام حادة وأعراض شلل لمدة 10 سنوات، اكتشفت مؤخرا وجود 9 دبابيس وإبر داخل جسمها بعد إجرائها آشعة سينية أدخلها زوجها السابق في جسدها.

وقالت الصحيفة أن الأطباء عثروا في جسم آلاتان هاسيا على 9 دبابيس، مفرقة في كل من الرئة والكلى والكبد والساق وعلى مقربة من القلب، بعد إجرائها أشعة سينية.
وقالت «هاسيا» من جارود بانر في شمال الصين، أن زوجها السابق اعتاد ضربها، وبعد هجرها له في 2002، جاء إليها في بيت أهلها وضربها حتى دخلت في غيبوبة، وعندما أفاقت وجدت بجانبها على الأرض دبابيس وإبر قام زوجها بإدخال بعضها في أنحاء متفرقة بجسدها.
وأضافت «هاسي» أن تكلفة العملية جراحية لإزالة الإبر ستصل إلى 17 ألف جنيه إسترليني، وهو ما لا تستطيع تحمله.
