رجل يصدم الأطباء بـ"مقتنيات غريبة" في معدته

رجل يصدم الأطباء بـمقتنيات غريبة في معدته
أخبار البلد -   اخبار البلد
 
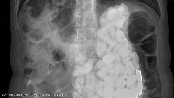
تفاجئ أطباء بعدما عثروا على مجموعة من الحجارة وأغطية زجاجات ونقود معدنية في معدة مريض، أجروا له عملية جراحية لإخراجها بعد أن تناولها أثناء تعرضه لنوبات قلق.

وأدخل المريض الكوري البالغ من العمر 54 عاما إلىالمستشفى، وهو يعاني آلاما حادة وانتفاخا في المعدة.

وأجرى أطباء بمستشفى Ilsan Paik بجامعة إنجي الكورية الجنوبية، مجموعة من الفحوصات لمعرفة السبب الكامن وراء هذه الأعراض، حيث شعروا بشيء يشبه الحجارة عند لمس بطنه، واكتشفوا تراكم أجسام في المعدة كلها يصل وزنها إلى كيلوغرامين.


ووفق ما ذكرت صحيفة "ميرور" البريطانية، الأربعاء، فإن المريض أخبر الأطباء أنه ابتلع هذه الأجسام الغريبة خلال فترة زمنية طويلة كطريقة للتعامل معالقلق، رغم تناولهللأدويةالمضادة لها أيضا.

ولم تفلح محاولات الأطباء في إخراج الأجسام من معدة الرجل الذي ولد بإعاقة ذهنية، باستخدام طريقة المنظار نظرا لكثرتها،مما دفعهم للحل الجراحي.

وقد أثمرت جهود الطاقم الطبي في تخليص المريض من آلامه، حيث غادر المستشفى بعد إقامته فيها لمدة9 أيام.


شريط الأخبار "الخيرية الهاشمية" والحملة الأردنية تنظمان أكبر إفطار جماعي جنوب قطاع غزة شركة عرموش للاستثمارات السّياحيّة - ماكدونالدز الأردنّ تقيم إفطارًا رمضانيًّا لموظّفيها نقابة وكلاء الملاحة تتحدث عن حالة الموانئ الأردنية "يديعوت أحرنوت" تكشف: ملاذات وهمية.. حالة رعب ونزوح داخلي تضرب المدن الإسرائيلية تحت وطأة الصواريخ إيران تستهدف إسرائيل بموجة صواريخ جديدة.. وخبراء المتفجرات ينتشرون في مواقع سقوط الشظايا وسط تل أبيب الملك والسيسي يؤكدان ضرورة تكثيف العمل العربي المشترك لمواجهة التحديات القنبلة النووية قد تصبح خيار إيران بعد الحرب.. تقرير إسرائيلي يحذر الحرس الثوري الإيراني يعلن مهاجمة أهداف إسرائيلية هامة بصواريخ سجيل الثقيلة ذات المرحلتين هجمات إيران على إٍسرائيل والمصالح الأمريكية في الخليج.. الخسائر وعدد القتلى والصواريخ والمسيّرات الجيش الإسرائيلي يكشف الموعد المتوقع لانتهاء الحرب على إيران قصة الملازم الخلايلة الذي استقبله سمو الأمير الحسين بن عبدالله الثاني ولي العهد آخر مستجدات مناقشات مشروع قانون الضمان الاجتماعي المعدل سلاح الهندسة يتعامل مع 312 من المتساقطات الناتجة عن الصواريخ والطائرات المسيّرة والرؤوس الحربية لأول مرة.. إيران تعلن استخدام صواريخ "سجيل" ضد إسرائيل لقد انكشفت حسابات دونالد ترامب الخاطئة بشأن إيران – الإندبندنت جمعية الاردنية لوسطاء التأمين تقيم حفل إفطار رمضاني في فندق أوبال.. شاهد الصور ياسر عكروش يفتح ملف أراضي الأسمنت في الفحيص .. وهذا قصة الإنذار !! "تنظيم الطاقة": بواخر محملة بالمشتقات النفطية والغاز قادمة إلى المملكة شظايا صاروخ تصيب منزل القنصل الأمريكي في إسرائيل. صافرات الإنذار تدوي في الأردن